El grupo Nature y Cell Reports publican nueve artículos coordinados por la iniciativa Programa Atlas BioMolecular Humano (HuBMAP), que descubren nueva información sobre los diferentes tipos celulares y cómo interactúan en los tejidos y órganos humanos, lo que proporciona un recurso para estudiar la biología y las enfermedades humanas.
El consorcio HuBMAP, que comenzó en 2018, pretende cartografiar el panorama molecular de las células sanas y su entorno inmediato en el cuerpo para comprender mejor la relación entre la organización celular y la salud, además de desarrollar las herramientas necesarias para ir creando ese atlas.
Un ser humano adulto está compuesto de billones de células que se organizan en tejidos, pero cuando este es sano raramente se analiza. Un atlas de tejidos sanos puede ayudar a comprender qué falla en una fase temprana de una enfermedad y aportar ideas para desarrollar tratamientos.
Los estudios publicados hoy son “el primer conjunto coordinado de artículos que traza mapas unicelulares de alta resolución de órganos humanos, incluidas las funciones que desempeñan”, afirmó el doctor Michael Snyder, de la Facultad de Medicina de la Universidad de Stanford (EE.UU) e investigador principal de uno de los proyectos.
El científico destacó, en una rueda de prensa de virtual, que estos trabajos han dado datos sobre cómo las células viven y trabajan juntas en “vecindarios celulares”, que son “conjuntos de células que pueden diferenciar distintas partes de los órganos”.
Snyder indicó la importancia de estos estudios de células sanas pues ” es difícil entender la enfermedad si no sabes cómo son los estados saludables. Estos mapas -estimó- nos permitirán comenzar a comparar diferentes órganos y analizar qué falla durante la enfermedad”.
Entre los mapas de células de referencia presentados están el del intestino, el riñón y la interfaz materno-fetal, donde coexisten la placenta y las células maternas.
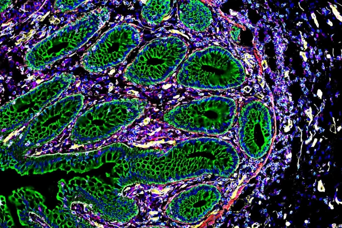
Snyder encabezó una de las investigaciones sobre el intestino humano, un órgano con muchas estructuras y funciones (desde la digestión hasta el apoyo al sistema inmunológico), del que por primera vez se ha hecho un mapa espacial a nivel de una sola célula.
El equipo analizó ocho secciones del intestino delgado y grueso de nueve donantes fallecidos, la mayoría hombres blancos, lo que reveló variaciones importantes en la composición celular en las diferentes regiones y se identificaron nuevos subtipos de células epiteliales.
Además, descubrieron que los ya citados “vecindarios” de células cooperan para digerir los alimentos y proteger de las infecciones, entre otras cosas y los pudieron cartografiar.
Un nuevo mapa de muy alta resolución de estos vecindarios muestra una compleja y variada composición celular que contribuye al funcionamiento de este órgano, explica la Universidad de Stanford en un comunicado.
Snyder consideró que estos mapas “están destinados a ser una referencia para un intestino sano”, con el que se pueden comparar enfermedades como el intestino irritable o el cáncer de colon en etapa temprana.
En el caso del riñón, un equipo encabezado por Snajay Jain, de la Universidad de Washington en San Luís (EE.UU) presentó el atlas unicelular de 51 tipos celulares, algunos raros y novedosos, en el riñón sano, y 28 relacionados con características asociadas a lesiones o recuperación.
Los investigadores caracterizaron los rasgos moleculares de las células renales sanas y enfermas en distintos segmentos renales y crearon imágenes tridimensionales de células que viven en comunidades y se comunican con sus vecinas.
Una visión completa de estas relaciones podría allanar el camino para fármacos mejores y más precisos, con menos efectos secundarios.
Un mapa de la placenta humana durante la primera mitad del embarazo es el resultado del trabajo de un equipo liderado por Michael Angelo, de la Universidad de Standford, para lo que analizaron unas 500.000 células y 588 arterias de 66 muestras de la interfase materno-fetal humana.
En concreto, analizaron la interfase entre la placenta y el útero, donde las arterias maternas se remodelan para suministrar sangre al feto.
Así, pudieron identificar interacciones entre células placentarias e inmunitarias, un descubrimiento que da información sobre cómo las células inmunitarias maternas apoyan la coexistencia de las distintas células maternas y fetales.
El consorcio HuBMAP, activo desde 2018, desarrolla además las herramientas necesarias y con el uso de la inteligencia artificial, para crea estos mapas espaciales en 2 y 3 D de componentes moleculares celulares, incluidos ARN, proteínas y metabolitos, dentro de tejidos y órganos a nivel de una sola célula.
Los investigadores seguirán ahora recolectando y analizando datos de organización celular para otros órganos humanos sanos, como la vejiga, los ojos o el corazón y seguirán construyendo las herramientas y tecnologías necesarias para lograr un atlas de referencia completo.
López D.




